Before and After

Incredible results and inspiring journeys – see some of our patients' before and after photos next time you visit our practice.

Invisalign

  • before and after photo
  • before and after photo
  • before and after photo
  • before and after photo

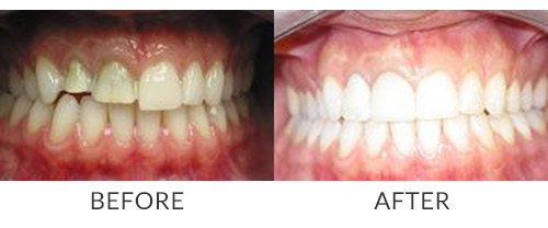
Porcelain Veneers

  • before and after photo
  • before and after photo
  • before and after photo
  • before and after photo
  • before and after photo

Porcelain Crowns

  • before and after photo
Back to Top